ノミと腎臓病と心臓病
それと…………
離乳前の子猫です。
ノミは昔、20年くらい前
フロントラインと出会う前まで
完全に駆虫することができずにいて
なんか猫にノミがいるのがイヤだったから。
腎臓病は猫の老化現象の一つなんでしょうが
やっぱり恐いものは恐い!
心臓病もやっぱり恐い!
心臓は…
うちのコたちはちょっとだけ心臓の検査はしています。
『ぼん、あられ』は
もともと後ろ足がおかしいので
※今は筋肉もついてほぼわからない程度にはなっています。
1歳前に骨格と心臓に奇形がないかレントゲンを撮ってもらい
(まとめてやるとちょっと安かったので😅)
1歳半くらいの時に心臓のエコー検査をしてもらいました。
心筋症は3歳くらいにならないとわからない時があるみたいですが
かかりつけの獣医さんが心臓を専門にしてるので早めにしてもらいました。
あとはシニアになったらまた、やるつもりです。
『めめ』は若い時に一度、心臓の検査をしていて
一昨年の6歳のときに
【もうすぐシニア】
ってことで
エコー、心電図、レントゲン
の検査はしてもらいました。
『うり』もシニアになってレントゲン、エコーはしていて
あとは咳の検査ついでに心臓のレントゲンを撮ってもらったり…
な感じでなんとなく診てもらってます。
うーん…
自分でもわかってはいるんです。
でも、やっぱり今までのコたちがかかった病気は凄く恐いので異常なくらいこだわってしまいます。
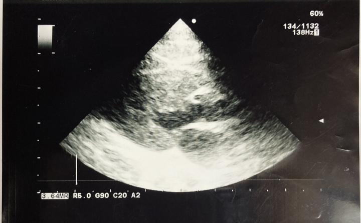
コレ、『ぼん』心臓のエコー写真です

記念にって獣医さんからもらってきました。
余っていたのかな❓
ついでに
猫たちを撫でただけの動画なので
スルーしてください!
離乳前の子猫は…
いきなり体調を崩したりするので恐いです。



















4
最近のコメント