いつもお出迎えの碧風龍が来ない。。。。
コタツで寝ていた。
寒いからかなあ~って 気にしなかった。
夕方に「ごはんだよ~」にも こない
おかしいぞ。。。。
コタツから出したら
びっこ引いてるじゃないかーーーー!

いつもの病院は やってない・・・・
しかも明日も休み・・・・
ガ━━(= ̄□ ̄=)━━ン!!
旦那さんが 仕事帰りに 一箇所見つけて 即効連れて行った!
その病院では 手首だねー。でも 骨折ではないし~
と 痛み止めを打ってもらった。
で 今朝 まだ変わらない・・・・
いつもの食洗機には 上るんだけどw
いつもどおり 食べるんだけど。。。w

でも ニャンキチさんが
「一緒に行くよ!」と言ってくれて
車を出してくれて 一緒に病院に行った!!
(ホントにありがとう!ペコm(_ _;m)三(m;_ _)mペコ)
とても いい病院で しっかりと診察してくれた。
とっても 緊張して 毛がいっぱい抜けたあいる。
先生には「いいこだねー!おとなしい子だね~」と ほめてもらって~。
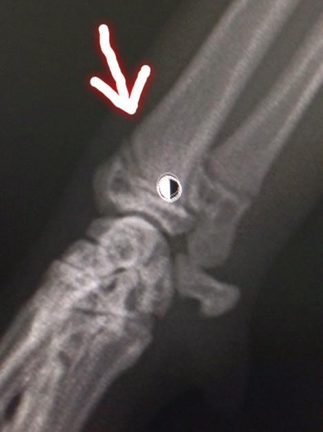
二枚のレントゲンの写真を撮りました。
結果 どーも ひびが入ってた ようです。

この程度だったら 何をすることもなく ほっとくらしいw
きっとケージによじ登り。。。腕が入ったまま ねじれたのではないか?
って 見解でしたw
で 5日間のお薬をもらって
レントゲン代¥2500×2=5000
薬代 5日分¥2000
初診料 ¥1000
合計 8000+640(消費税)=8640円でした!
みんにゃも 気をつけてねー!



















0
最近のコメント