当時のブログから転載してます。
猫骨折の一例としていつか誰かの参考になれば幸いです。
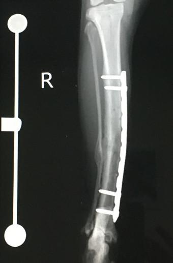
2021年3月プレート抜去手術(1回目)から1週間。
地元の病院で猫の抜糸してきました。
ケージレストがんばりましたーって報告したら
「え?やってたんですか?それは頑張りましたね」的反応
・・・もしかして今回ケージレスト絶対じゃなかったですか?。
思えばメインのプレートはまだ残ってるからボルト穴4個空いてるけど強度的には問題ない?。
・・・・茶猫すまんかったな。
とは言え、バンテージむしったり傷口舐めたらいかんのでエリザベスは外せない
婆の目の前でパラボラ姿を見せたら「かわいそう!」って速攻外されるのでやっぱりケージレストは必要だったと思うです。
今回のレントゲン かなり良くなってる。
でもこの角度だとボルト穴の様子がわからん。

今回4針なので抜糸も問題なく終了。
バンテージの下、ちょっと皮膚炎起こしてたけど塗り薬塗っておしまい。
茶猫がんばった。えらかった。
今回は地元の病院だったからお会計で心削られる事もなくw。
お医者さんに今回のプレート抜去手術の明細見せたら新鮮な悲鳴をいただきましたwww。
明細の中身を見てなんでそんな金額になるのか簡単な解説も。
町医者では導入むずい機械を使って大変丁寧な処置をしているそうです。
本当に金に糸目つけないから高度先進医療でお願いします的病院なのね。
庶民にはかなり厳しいものがありますけど、
最新機器で丁寧な医療を行いたいって方針もわかる。
マッチングがうまくできればいいんだけど
まさか「うちは高度先進医療だから高いですけど良いですか」って受付で言うわけにもいかんですし。
動物病院を選ぶのの判断情報がもっとあったら良いのになー。
おかげさまで本猫は大変健やかにお過ごしです(^▽^;。
抜糸後傷舐めたらいかんので、さらに2日ケージレストして
ケージ&パラボラ生活は終了。
お疲れさまー。
2021年4月、骨折してから9ヶ月&プレート抜去手術(1回目)から1ヶ月半経過しての検診に行ってきました。
次回抜去手術で夏までには完治ーって思ってたけど
また1ヶ月半様子見て次回スケジュール決めましょうって言われてがっかりー。
次回の検診が6月頭でそっからまた1ヶ月後ってなると7月になるー。
結局一年がかり(==;。
まぁ全身麻酔かけるので期間空いた方が猫の負担にならないし
また16万とかかかるから手術代貯める猶予が延びるのはいいんだけど
農繁期になるから平日仕事代わってくれる人いるかなぁ(==;。
田舎あるある案件。
前回抜いたボルトの穴はいい感じに塞がり始めてました。

札幌の病院レントゲン代が地元の倍近いの
いい機材を使ってるから?と思ってたらどうも2枚撮影してたようで・・・
今回2枚目を見せてもらいましたよ。

確かにこれはお医者の判断には必要でも素人にはわかりづらいので見せなくてもOKかもだけど
飼い主からしたらせっかくなら見せてよ!って思うですよ(^_^;。
まぁ結局見せてもらってもようわからんですけどw。
まだまだがんばろう
2021年6月、骨折してから約10ヶ月&プレート抜去手術(1回目)から3ヶ月経過しての検診に行ってきました。
レントゲン撮って「順調です」って言われてお会計してくるルーチン。
もう飼い主も先生も今さら特にコメントもなくw。

予定通り次回残りのプレート抜去のスケジュールを決めてきました。
7月中旬ー。
田舎は農繁期につき職場の交代要員の皆さんがことごとく農家仕事に駆り出されている時期ー。
しょうがないので混んでるだろう承知で土曜日の手術と相成りました。
まぁ手術の夜は猫大暴れで飼い主ほぼ寝れないから翌日休みなのはありがたい。
それにしても、プレート抜去予定が7月となると骨折から丸々1年。
ここまでかかるとは予想してなかった(==;。
・・・金額面でも・・・。
車の中でもあざとさを振りまく猫。

※これは2年前のお話です。現在本猫はすっかり元気ですのでご安心を(^^)。




















17
最近のコメント